
Acid-fast stain
Definition
The acid-fast stain is a laboratory test that determines if a sample of tissue, blood, or other body substance is infected with the bacteria that causes
How the Test is Performed
Depending on where the infection may be in your body, your health care provider will collect one of these samples:
- Urine
- Stool
- Sputum
- Bone marrow
- Tissue
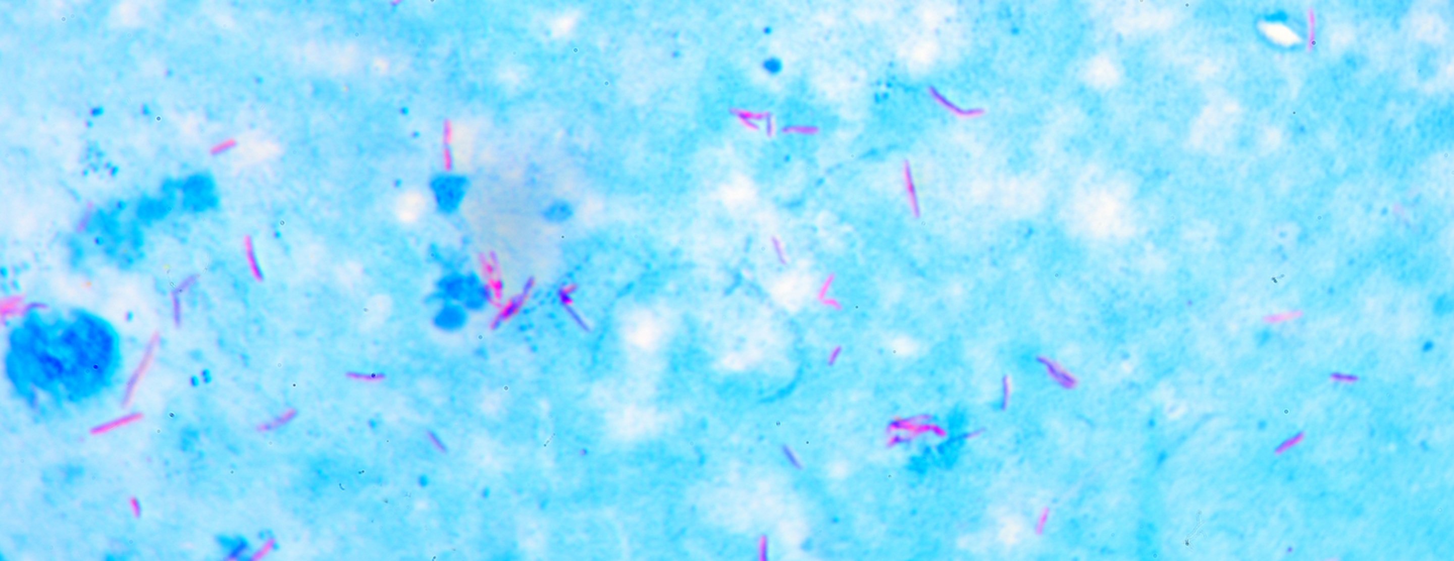
The sample is then sent to a laboratory. Some of the sample is placed on a glass slide, stained, and heated. The cells in the sample hold onto the dye. The slide is then washed with an acid solution and a different stain is applied.
Bacteria that hold onto the first dye are considered "acid-fast" because they resist the acid wash. These types of bacteria are associated with TB and other infections.
How to Prepare for the Test
Preparation depends on how the sample is collected. Your provider will tell you how to prepare.
How the Test will Feel
How much discomfort you may feel depends on how the sample is collected. Your provider will discuss this with you.
Why the Test is Performed
The test can tell if you are likely infected with the bacteria that cause TB and related infections.
Normal Results
A normal result means no acid-fast bacteria were found on the stained sample.
Normal value ranges may vary slightly among different laboratories. Some labs use different measurements or test different samples. Talk to your provider about the meaning of your specific test result.
What Abnormal Results Mean
Abnormal results may be due to:
- TB
Leprosy Nocardia infections (also caused by a bacteria)
Risks
Risks depend on how the sample is collected. Ask your provider to explain the risks and benefits of the medical procedure.
References
Fitzgerald DW, Sterling TR, Haas DW. Mycobacterium tuberculosis. In: Bennett JE, Dolin R, Blaser MJ, eds. Mandell, Douglas, and Bennett's Principles and Practice of Infectious Diseases. 9th ed. Philadelphia, PA: Elsevier; 2020:chap 249.
Rodino KG, Woods GL, Wengenack NL. Mycobacteria. In: McPherson RA, Pincus MR, eds. Henry's Clinical Diagnosis and Management by Laboratory Methods. 24th ed. Philadelphia, PA: Elsevier; 2022:chap 59.
Review Date: 12/31/2023
The information provided herein should not be used during any medical emergency or for the diagnosis or treatment of any medical condition. A licensed physician should be consulted for diagnosis and treatment of any and all medical conditions. Call 911 for all medical emergencies. Links to other sites are provided for information only -- they do not constitute endorsements of those other sites. Copyright ©2019 A.D.A.M., Inc., as modified by University of California San Francisco. Any duplication or distribution of the information contained herein is strictly prohibited.
Information developed by A.D.A.M., Inc. regarding tests and test results may not directly correspond with information provided by UCSF Health. Please discuss with your doctor any questions or concerns you may have.